Gum disease is a silent threat that affects many. You may not notice the initial signs: bleeding while brushing or slight swelling. Yet, early detection is crucial. General dentistry plays a key role in stopping gum disease before it worsens. Dentists use routine check-ups to spot signs early, helping you avoid serious problems later. They clean your teeth to remove plaque and tartar. These deposits lead to gum disease if left untreated. You might need a simple treatment like scaling or root planing. This deep cleaning helps prevent further damage. Your dentist may also suggest changes in your oral hygiene routine. Using proper brushing and flossing techniques can make a big difference. For those interested in enhancing their smile, cosmetic dentistry in Denton tx offers options that can work alongside your gum health plan. By addressing gum disease early with general dentistry, you protect your smile and your health.
Understanding Gum Disease
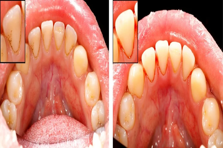
Gum disease begins with gingivitis, the mildest form. It causes gums to become red and swollen. You might notice slight bleeding while brushing. Without treatment, gingivitis can progress to periodontitis. This severe form affects the tissues and bone supporting your teeth. General dentists are trained to catch these early signs. They aim to prevent progression through regular check-ups and proper oral care.
The Importance of Routine Dental Visits
Regular visits to your dentist are more than just a cleaning session. They offer a chance to catch early signs of gum disease. Your dentist examines your gums carefully. If they detect any issues, they will recommend preventative measures. These might include a special cleaning or guidance on proper oral hygiene practices. According to the Centers for Disease Control and Prevention, nearly half of adults over 30 show some form of gum disease. Regular dental visits can reduce this risk significantly.
Treatments Offered by General Dentists
If your dentist identifies early gum disease, they will discuss treatment options. These treatments are effective and straightforward. They often include scaling and root planing, which involve deep cleaning to remove plaque and tartar from below the gumline. This process helps your gums reattach to your teeth, reducing the pocket depth that harbors bacteria. Your dentist may also provide antibiotics to fight bacteria or recommend antiseptic mouthwash for daily use.
Daily Oral Hygiene Tips
Effective oral hygiene practices play a major role in preventing gum disease. Follow these steps to keep your gums healthy:
- Brush your teeth twice daily with fluoride toothpaste.
- Floss daily to remove plaque from between your teeth.
- Use an antiseptic mouthwash to reduce bacteria.
- Replace your toothbrush every three to four months.
- Maintain a balanced diet and limit sugary snacks.
These steps, combined with regular dental visits, lower your risk of gum disease.
Comparing Treatment Methods
| Treatment | Description | Benefits |
|---|---|---|
| Scaling and Root Planing | Deep cleaning to remove plaque and tartar. | Reduces bacteria and promotes gum health. |
| Antibiotic Therapy | Use of medication to combat infection. | Targets specific bacteria causing inflammation. |
| Antiseptic Mouthwash | Rinse that reduces bacteria levels. | Helps maintain oral hygiene at home. |
The Role of Lifestyle in Gum Health
Gum health doesn’t just rely on dental treatments. Your lifestyle choices make a big difference. Quitting smoking, for instance, can improve gum health significantly. Smoking weakens your immune system, making it harder to fight gum infections. A healthy diet rich in vitamin C and calcium supports healthy gums. Also, manage stress through exercise or relaxation techniques, as stress can worsen gum disease.
The Long-Term Benefits of Early Detection
By addressing gum disease early, you prevent tooth loss and the need for more complex treatments. Maintaining healthy gums leads to better overall health. The National Institute of Dental and Craniofacial Research emphasizes the connection between oral health and general well-being. Early action saves time and discomfort, allowing you to enjoy a healthier smile.
Conclusion
Gum disease doesn’t have to progress uncontrollably. Through general dentistry, you have the tools to combat it early. Regular check-ups, effective treatments, and daily oral hygiene are key. Incorporate these habits into your routine to protect your smile and health. Never underestimate the power of early detection, and keep your gums healthy for a lifetime.
